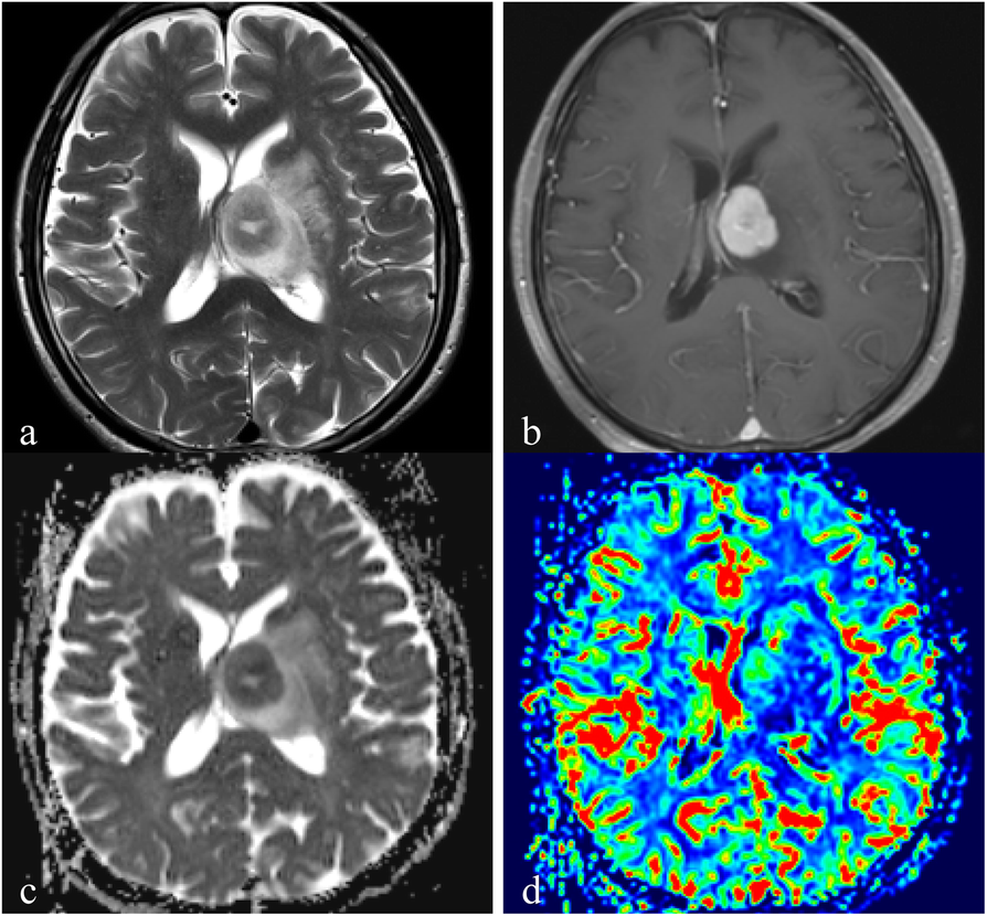
Fig. 4

A 72-year-old man with PCNSLs in the deep gray matter. a. Axial T2WI demonstrates homogeneous high signal intensity on the left basal ganglia region. b. Contrast-enhanced axial T1WI demonstrates a lesion enhancement. c. A corresponding ADC map shows the tumor with a decreased ADC value (ADCmin = 0.49 × 10− 3 mm2/s). The ADCmean value is 0.62 × 10− 3 mm2/s in the right normal deep gray matter. d. A correlative color CBV image shows moderately elevated perfusion with the calculated rCBVmax of 2.10