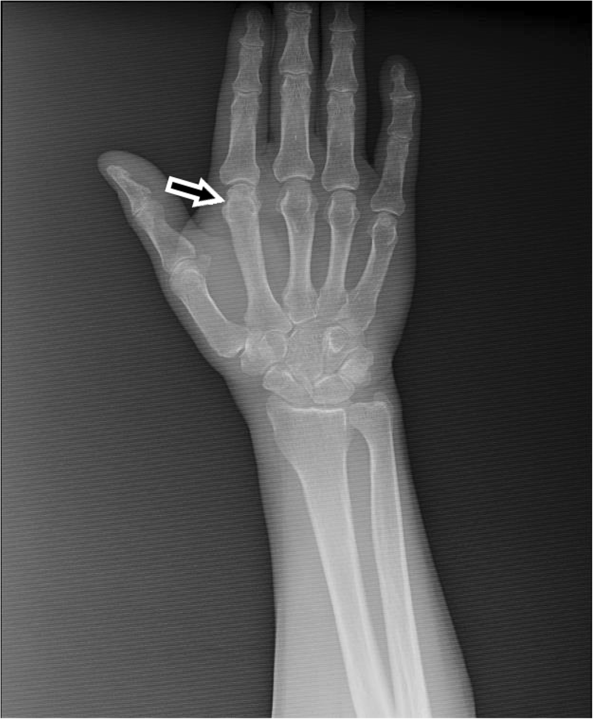
Fig. 1From: A case with Behçet’s disease involving erosive Metacarpophalangeal joint arthritis: the value of ultrasonography in the diagnosis of an ErosionConventional radiograph of the right hand and second MCP joint of our patient. The arrow shows the suspected erosion in the second MCP jointBack to article page